Die Schulter
Schulterschmerzen behandeln wir in Köln mit ärztlichen und physiotherapeutischen Therapieverfahren. Die Schulter besteht aus Schulterblatt, Schulter Haupt- und Schulter Eck- Gelenk. Das Gelenk zwischen Brustbein und Schlüsselbein gehört funktionell ebenfalls mit zur Schulter.
Die Schulter ist das Gelenk mit dem größten Bewegungsumfang im menschlichen Körper. Große Beweglichkeit geht meist zu Lasten der mechanischen Stabilität, was Probleme an einigen Bereichen der Schulter auslösen kann. Möglich wird die große Beweglichkeit der Schulter erst durch einige anatomische Besonderheiten.
- An der Schulter arbeiten mehrere Gelenke Hand in Hand.
- Teile des Schulter Gelenke werden maximal verkleinert, um mehr Bewegung der Schulter zu ermöglichen
- Muskeln und Bänder müssen für die verkleinerten Gelenke Stabilisierungsaufgaben an der Schulter übernehmen
Anatomie der Schulter
Die Schulter bildet ihr Schultergelenk aus einer großen Gelenkkugel und einer kleinen Gelenkpfanne. Die Gelenkpfanne der Schulter wurde im Laufe der Evolution soweit verkleinert bis der heutige Bewegungsumfang entstanden ist. Möglich wurde das erst durch besondere Bänder, die die Kapsel des Schultergelenkes passiv verstärken, Glenohumerale Bänder, und der Rotatorenmanschette, einer Gruppe von Muskeln, die das Schultergelenk aktiv stabilisieren.

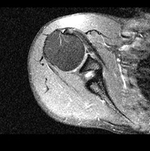
Bild 1: Schulter von oben.
In der nebenstehenden Kernspintomografie Aufnahme eines Schultergelenkes blicken wir von oben auf ein Schnittbild der Schulter und sehen dunkel auf der linken Seite den sehr grossen Oberarmkopf, der einer vergleichsweise kleinen Gelenkpfanne, rechts, gegenübersteht. Man kann sich kaum vorstellen, bei dem ungewöhnlich grossen Bewegungsumfang der Schulter, dass dieses Gelenk ausreichend stabil sein soll und nicht ständig zu Luxationen, zu Schulterausrenkungen führt. Erst eine mechanisch besonders wirkungsvolle Konstruktion von Muskelzügen und das geschickte Zusammenspiel von mehreren Gelenken ermöglicht die ausreichende Stabilität der Schulter.

Bild 2: Schulter von hinten.
Die Muskelgruppe, die der Schulter diese Flexibilität ermöglicht nennt man die Rotatorenmanschette. Vier Muskeln greifen wie die Finger einer Hand um den Oberarmkopf der Schulter und stabilisieren ihn mit ihren Zügen die Bewegungen und halten damit den Schultergelenkkopf in der Schulterpfanne. In der nebenstehenden Kernspintomografie sehen wir ein Schultergelenk von hinten. Hell auf der rechten Seite sehen wir den Oberarmkopf, darüber ebenfalls hell, das Schulterdach, aus Acromion und Schlüsselbein mit dem Schultereckgelenk. Sehr klein links neben dem Oberarmkopf ist dunkler die kleine Gelenkpfanne der Schulter zu erkennen. Der große spindelförmige Muskel zwischen Schulterdach und Schultergelenk ist einer der sog. Rotatoren mit dem klangvollen Namen Musculus supraspinatus.
Die anderen drei Rotatoren die der Schulter Stabilität und Bewegung ermöglichen sind der M. Infraspinatus, M. Teres minor und M. Subscapularis.
Eine wichtige Funktion hat das Schulterblatt, das zum einen gegen den Brustkorb betrachtet ein eigenes Gelenk darstellt und zum zweiten an seinem oberen äusseren Rand mit dem Acromion genannten Anteil einen Teil des Schultereckgelenkes bildet. Vervollständigt wird die Anatomie der Schulter noch durch das Schlüsselbein, welches am Acromion gelenkig ansetzt und das Acromioclavikulargelenk bildet. Am anderen Ende des Schlüsselbeins nennt man die gelenkige Verbindung mit dem Brustbein Sternoclavikulargenk.
Schulter Bewegungen
Die besondere Mechanik der Schulter wird am Beispiel des seitlichen Anhebens des Armes deutlich. Aus der Ruheposition des hängenden Armes beginnt das seitliche Anheben des Armes indem sich die Oberarmkugel gegen die Gelenkpfanne dreht. Das wird etwa bis zur Horizontalen gelingen, der Arm ist also 90° vom Körper abgespreizt. Danach ist der Bewegungsumfang der Schulter erschöpft und ein zweites Gelenk hilft weiter aus. Nun beginnt das Schulterblatt sich gegen den Brustkorb zu drehen und der Arm kann sich weiter nach oben bewegen bis der Arm eine 180 ° Bewegung ausgeführt hat. Erst das Zusammenspiel mehrerer Gelenke ermöglicht den gesamten Bewegungsumfang der Schulter.
Verletzungen und Erkrankungen der Schulter
Eine Besonderheit der Schulter möchte ich vorweg betonen. Die Schulter hat aufgrund ihrer besonders großen Kapsel-Band Anteile in besonderer Weise die Neigung ihre Beweglichkeit zu verschlechtern, wenn sie nicht ausreichend bewegt wird. Der Begriff frozen shoulder wird dafür verwendet und beschreibt die rasche, bereits nach 3 Wochen Ruhigstellung eintretende Schrumpfung des kollagenen Kapsel- Band Apparates an der Schulter, die bis zur völligen Unbeweglichkeit des Glenohumeralgelenkes führen kann. Ein Schultergelenk sollte nie länger als unbedingt nötig ruhig gestellt werden.
Knöcherne Verletzungen der Schulter
Oberarmkopf Frakturen auch Humerus Frakturen genannt kommen im Bereich der Schulter recht häufig vor. Man zählt sie noch zu den Schulterfrakturen und unterteilt sie grob in Frakturen des Kopfes und des Schaftes. Eine Sonderstellung nimmt die subkapitale Humerusfraktur an der Schulter ein. Bei jungen Patienten sieht man diese Frakturen der Schulter meist nach Unfällen im Sport oder am Arbeitsplatz nach her Krafteinwirkung. Ein Klassiker ist der Sturz von Pferd. Bei älteren Patienten kommen Oberarmkopf und Schaftfrakturen im oberen Drittel des Oberarmknochens meist nach Stürzen auf den ausgestreckten Arm vor. Die Osteoporose begünstigt die Häufigkeit von Oberarmkopf Frakturen weil der Knochen durch die osteoporotische Ausdünnung an Stabilität verloren hat. Bei subkapitalen Humerusfrakturen bricht der Oberarmknochen kurz unterhalb des Oberarm Kopfes. In fast allen ist die operative Versorgung das Mittel der Wahl. Mit einer Kombination von Platten und Schrauben richtet der erfahrene Operateur die Frakturen wieder auf und ermöglicht eine durch die hohe Stabilität der Verplattung ein bestmögliches Heilungsergebnis.
Auch Schlüsselbeinfrakturen gehören zu den Schulterverletzungen. Je nach Grad an Fehlstellung der betroffenen Knochenteile und dem Grad der Zertrümmerung wird ein konservativer Behandlungsweg mittels Ruhigstellung im Rucksackverband oder der operative Weg mit Spickung, das ist die Fixierung durch Kirschner-Drähte, Verschraubung oder Verplattung gewählt. Die endgültige Entscheidung wird nach den Röntgenbildern oder entsprechenden CT oder MRT Aufnahmen getroffen.
Muskel- und Bandverletzungen an der Schulter
Die Rotatorenmanschetten Ruptur ist eine der häufigsten Verletzungen der Schulter überhaupt. Sie beginnt mit einem verstärkten mechanischen Verschleiss an der Sehne des Supraspinatusmuskels, der sich anatomisch sehr ungünstig zwischen Oberarmkopf unf Schulterdach hindurchzwängen muss.

Unter bestimmten Bedingungen, wie einer relativen Enge oder unter besonderen Belastungen kann es zu Reizzuständen im Bereich der Supraspinatussehne kommen. Nach einiger Zeit wird sich die Sehne auch mechanisch verändern. Wie die Spleisse eines Taues werden die äusseren Sehnenstrukturen aufgerieben und reissen. Dieser Prozess zieht sich meist über viele Jahre hin und ist mit Schmerzen bei Bewegung verbunden. Geht der Patient rechtzeitig zum Arzt kann die Verletzung rechtzeitig erkannt und behandelt werden. Geht die degenerative Erkrankung weiter, dann kann die Sehne des Suprapinatusmuskels reissen und die Bewegung des Armes wird deutlich eingeschränkt sein.
Man kann heute mit modernen minimal invasiven Operationsverfahren einen Verschleissprozess an der Schulter stoppen und eine komplette Ruptur der Sehne verhindern.
Muskelrisse an der Schulter treten meist bei Kraftsportlern auf. Man sieht praktisch nur zwei Arten, die Ruptur oder Teilruptur des M. pectoralis, des großen Brustmuskels und Rupturen des Bizeps Muskels. Beide Formen treten auf, weil sich Sportler zu viel zumuten. Die Gewichte sind zu hoch, die Muskulatur bereits übermüdet oder noch zu kalt und der sportliche Ehrgeiz, blendet die schützenden Signale des Körpers aus.
Diese Verletzungen sind durch eine sportärztliche Beratung und Untersuchung in den meisten Fällen zu vermeiden!
Schulter Luxation
Eine Schulterluxation beschreibt das heraustreten der Oberarmkopfes aus dem Verband der Schulter Pfanne, Dabei kommt es meist zu Verletzungen des Muskelapparates oder der Bänder. Eine Schulterluxation kann durch anatomische Veränderungen an Kopf und Pfanne begünstigt werden oder tritt durch hohe Krafteinwirkungen auf. Im letzteren Fall, kann es dadurch zu knöchernen Verletzungen am Pfannenrand oder dem korrespondierenden Anteil des Oberarmkopfes kommen und dadurch werden oft weitere Luxationen der Schulter begünstigt. Schulterluxationen können aber auch ohne hohe Kräfte auftreten, wenn ein Weg für den Oberarmkopf gebahnt ist. Einige Patienten haben sogar Techniken entwickelt sich selbst die Schulter wieder einzurenken. Davon ist allerdings dringend abzuraten und eine operative Veränderung der anatomischen Verhältnisse angeraten.
Eine Schulterluxation ist eine schwere Verletzung und muss ärztlich behandelt werden, da es zu schwerwiegenden Nerven und Gefäßverletzungen kommen kann. Röntgenaufnahmen sichern die Diagnose und die Luxation muß anschliessend eingerenkt werden. Diese Technik gehört in die Hand des erfahrenen Arztes. Schulterluxationen treten meist bei Männern auf.
Die Kalkschulter – Tendinitis Calcarea
Verkalkungsprozesse betreffen an der Schulter meist die Sehnen der Rotatorenmanschette und hier besonders oft die Sehne des M. Supraspinatus. Oft ausgelöst durch Unfälle, Stürze und besonders große Krafteinwirkungen kommt es an der Schulter zu degenerativen Umbauprozessen des Sehnengewebes in Faserknorpelgewebe. In diesen entzündeten Faserknorpel können sich Kalksalze anlagern und zu heftigen Schmerzen an der Schulter führen.

Meist verläuft die Tendinitis calcarea in drei Phasen. Nach dem initialen Trauma folgt als erstes die Umbauphase, dann die Entzündungsphase mit der Kalkeinlagerung und anschließend in den meisten Fällen auch wieder die Phase des Abklingens der Symptome. Heute wird in den meisten Fällen konservativ behandelt. Nur in wenigen Fällen, bei hartnäckigen Schmerzen kann die Kalkeinlagerung auch operativ entfernt werden.
Andere Erkrankungen der Schulter
Weniger häufig auftretende Erkrankungen an der Schulter sind Freie Gelenk Körper, meist abgelöste Knorpelstückchen die eines Gelenkverschleisses, die im Gelenk ein Eigenleben führen können. Sie wachsen und ernähren sich dabei von Gelenkflüssigkeit. Sie können nach einiger Zeit verknöchern und sollten unbedingt arthroskopisch entfernt werden.
Auch Tumore können im Bereich der Schulter auftreten, Metastasen anderer Primärtumore oder eigenständige Erkrankungen der Knochen und des Bindegewebes sind hier möglich.
Die Slap-Läsion beschreibt die Verletzung des Labrums, einer bindegewebigen Gelenklippe, die von der Funktion und dem Aufbau etwa mit dem Meniskus im Kniegelenk vergleichbar ist. Solche Labrumläsionen heilen meist nicht aus und müssen arthroskopisch saniert werden.
Die Schulter verfügt über grosse Schleimbeutel die sich entzünden können und dann eine Bursitis hervorrufen. Schleimbeutelentzündungen lassen sich meist konservativ gut behandeln und klingen rasch ab.
Diagnosen bei Schultererkrankungen
Wie auch bei anderen Krankheitsbildern ist das ausführliche ärztliche Gespräch der Anfang jeder sicheren Diagnose. Der genaue Unfallhergang, oder die Entwicklung der Beschwerden geben dem Arzt wichtige Hinweise

Es schliesst sich wieder die gründliche körperliche Untersuchung und gegebenfalls auch technische Untersuchungen wie Röntgenbilder, CT oder MRT an. Eine Laboruntersuchung kann erforderlich sein.
Man muß bedenken, dass Schulterschmerzen häufig Folge ausstrahlender Beschwerden der Halswirbelsäule sind. Oft strahlen Schmerzen von einem Bandscheibenvorfall der HWS in die Schulter aus.
Therapie an der Schulter
Wir behandelen Erkrankungen der Schulter unter ganzheitlichen, sportmedizinischen Ansätzen mit einer Kombination aus ärztlicher, osteopathischer und physiotherapeutischer Therapie. Schulterverletzungen können konservativ, medikamentös, physiotherapeutisch oder mit physikalischen Mitteln, wie Wärme oder Kälte behandelt werden. Bei einigen Verletzungen, wie der Kalkschulter kann auch eine Behandlung mit Stoßwellen erfolgreich sein. Injektionen mit entzündungshemmenden Medikamenten an der Schulter haben nach wie vor beste Erfolge.
In den beschriebenen Fällen kann auch eine operative Behandlung notwendig werden. Heute werden viele Operationen arthroskopisch durchgeführt und bedeuten für den Patienten geringstmögliche Beeinträchtigung der Lebensqualität bei gleichzeitig bestem Ergebnis.